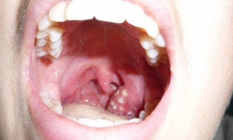
के हो टन्सिलको संक्रमण ? बारम्बार टन्सिल देखिए के गर्ने ?
टन्सिलको संक्रमण
यदि तपाईंलाई एक–दुईपटक मात्र टन्सिलको समस्या देखिएको छ भने चिकित्सकको सल्लाह लिएर घरमै सामान्य एन्टिबायोटिक खाँदा हुन्छ । तर, खाना निल्न र श्वास फेर्न नै गाह्रो भएको छ भने अस्पतालमा बसेर इन्जेक्सनबाट औषधि लगाउनुपर्ने हुन्छ । जटिल खालको र धेरैपटक दोहोरिएको छ वा दुई वर्षदेखि पटक–पटक देखिइरहेको छ भने अप्रेसन गरेर टन्सिल निकाल्नु नै राम्रो हुन्छ । त्यसरी निकालिसकेपछि पुनः टन्सिल हुने सम्भावना हुँदैन । अन्य कारणले भने घाँटी दुख्नसक्छ । टन्सिल निकालेपछि अन्य कुरालाई असर पर्दैन । कतिपय मानिस स्वर भासिन्छ भन्छन्, तर त्यो सत्य होइन । टन्सिल बिग्रिएर भासिएको स्वर निको भएपछि आफैँ ठीक हुन्छ ।
स्वर भासिने समस्या
मानिसको भोकल कर्डमा विभिन्न संक्रमणका कारण पनि स्वर भासिन सक्छ । इन्फेक्सनले भोकल कर्डलाई बाक्लो बनाइदिन्छ र स्वर भासिन्छ । त्यो संक्रमण हटेसँगै आफैँ निको हुन्छ । यस्तो समयमा चिकित्सकको सल्लाहमा एन्टिबायोटिक लिनुपर्छ । अर्को ठूलो समस्या भनेको भोकल कर्डमा क्यान्सर वा अन्य ट्युमर (मासुको डल्ला) पलाउनु हो । ट्युमर भए शल्यक्रिया गरी फाल्नुपर्छ । यदि क्यान्सर नै भइसकेको अवस्था हो भने त्यसको उपचार गर्नुपर्छ ।
हड्डी अड्किएर हुने समस्या
हाम्रोमा धेरै समस्या देखिने भनेको घाँटीमा हड्डी अड्किएर आउने समस्या पनि हो । हामीले खाना खाँदा विचार पु-याउनुपर्छ । सामान्य माछाको काँडा अड्किएको छ भने त्यो माथिल्लो भागमा नै हुन्छ । यस्तो उपचार बेहोस नबनाई गर्न सकिन्छ । तर, कुखुरा वा खसीको नली निलेमा भने त्यो खानानलीमा गएर अड्किएको हुन्छ । त्यसलाई बेहोस बनाएर नै निकाल्नुपर्ने हुन्छ ।
